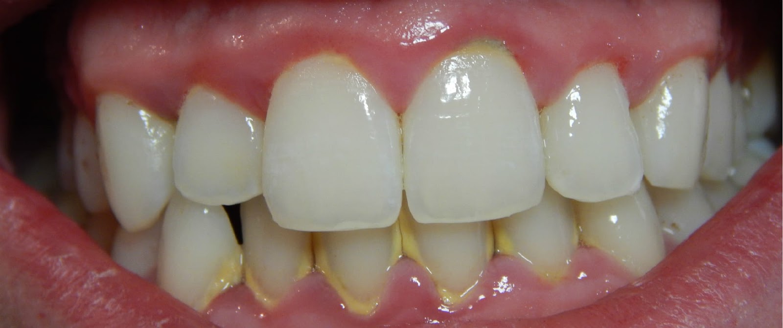
ترسبات الاسنان

تكلس الأسنان الجير إليك أفضل 3 علاجات منزلية فعالة للتخلص من جير الأسنان لك العافية

تكلس الأسنان الجير إليك أفضل 3 علاجات منزلية فعالة للتخلص من جير الأسنان لك العافية

ترسبات تكلسات وجير الاسنان خطرها وكيفيه التخلص منها بالاعشاب

ترسبات تكلسات وجير الاسنان خطرها وكيفيه التخلص منها بالاعشاب

كيف أزيل الجير من الأسنان موضوع

كيف أزيل الجير من الأسنان موضوع

7 خطوات تتخلص بيها من جير الأسنان نهائيا اليوم السابع

7 خطوات تتخلص بيها من جير الأسنان نهائيا اليوم السابع

تنظيف الاسنان و ازالة الترسبات الكلسية Dr Rami Salhi د رامي الصالحي Facebook

تنظيف الاسنان و ازالة الترسبات الكلسية Dr Rami Salhi د رامي الصالحي Facebook

إزالة جير الأسنان ٢٤ طريقه نتائجها خلال ٣ أيام ثقف نفسك

إزالة جير الأسنان ٢٤ طريقه نتائجها خلال ٣ أيام ثقف نفسك

إزالة جير الأسنان ٢٤ طريقه نتائجها خلال ٣ أيام ثقف نفسك

اضرار جير الأسنان المسبب للكثير من المضاعفات اليوم السابع

اضرار جير الأسنان المسبب للكثير من المضاعفات اليوم السابع

جير الأسنان ويكيبيديا

جير الأسنان ويكيبيديا

إزالة جير الأسنان ٢٤ طريقه نتائجها خلال ٣ أيام ثقف نفسك

إزالة جير الأسنان ٢٤ طريقه نتائجها خلال ٣ أيام ثقف نفسك

اضرار جير الأسنان المسبب للكثير من المضاعفات اليوم السابع

اضرار جير الأسنان المسبب للكثير من المضاعفات اليوم السابع

طريقة تقضي على جير الأسنان نهائيا خلال 10 أيام المصري اليوم

طريقة تقضي على جير الأسنان نهائيا خلال 10 أيام المصري اليوم

إزالة الجير من الأسنان بطرق طبيعية

إزالة الجير من الأسنان بطرق طبيعية

فوائد قشر الجوز فى التخلص من ترسبات الاسنان وجعلها بيضاء ولامعة

فوائد قشر الجوز فى التخلص من ترسبات الاسنان وجعلها بيضاء ولامعة

إزالة الجير من الأسنان بطرق طبيعية

إزالة الجير من الأسنان بطرق طبيعية

تنظيف الاسنان من الجير الخطوات والنتائج والتكلفة تجميلي

تنظيف الاسنان من الجير الخطوات والنتائج والتكلفة تجميلي

طرق بسيطة تخلصك من الرواسب السوداء على الأسنان الكونسلتو

طرق بسيطة تخلصك من الرواسب السوداء على الأسنان الكونسلتو

ما هو جير الاسنان الاسود وكيف يمكن إزالته من الأسنان كل يوم معلومة طبية

ما هو جير الاسنان الاسود وكيف يمكن إزالته من الأسنان كل يوم معلومة طبية

البلاك الجير و ترسبات الاسنان عياده اللؤلؤه لطب الاسنان زليتن ليبيا Facebook

البلاك الجير و ترسبات الاسنان عياده اللؤلؤه لطب الاسنان زليتن ليبيا Facebook

تنظيف الاسنان من الجير الخطوات والنتائج والتكلفة تجميلي

تنظيف الاسنان من الجير الخطوات والنتائج والتكلفة تجميلي

وصفة سحرية للتخلص من رواسب الأسنان Www Le360 Ma

وصفة سحرية للتخلص من رواسب الأسنان Www Le360 Ma

close